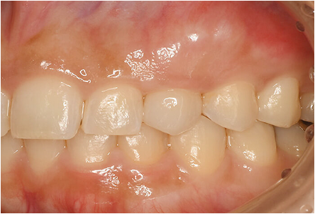
CASE01
ケース01
| 治療項目 | インプラント |
|---|---|
| 治療方法 | 右下奥歯インプラント治療による噛み合わせの改善 |
| 治療の概要 |
右下奥歯はう蝕が広がり抜歯が必要となりました。 抜歯後はブリッジ・義歯・インプラントの選択肢の中から検討した結果、年齢も若く他の歯への負担をかけない治療法としてインプラントを希望されました。 抜歯後の十分な治癒を待ってからインプラント手術を行い、骨の状態も良かったため手術後3ヶ月でセラミック(ジルコニア)の被せ物を装着し治療終了となりました。 |
| 治療期間 | 約6ヶ月(抜歯から) |
| 治療費用 | 約50万円 |
| 治療によるリスク |
下顎臼歯部には骨内に大い神経が走行しているため、間接的にでも神経を圧迫すると術後知覚鈍麻などの知覚異常が生じることがあります。 高い強度を持つ材質ですが、噛み合わせの条件によってはジルコニアが破折することもあります。 |
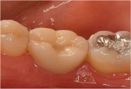
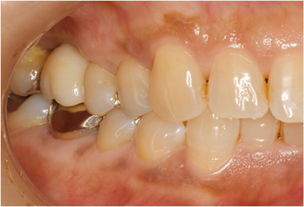
CASE02
ケース02
| 治療項目 | インプラント |
|---|---|
| 治療方法 | 複数歯欠損に対してインプラントのブリッジ治療により噛み合わせの改善 |
| 治療の概要 |
右下奥歯は以前抜歯されており、来院された際には欠損の状態でした。 入れ歯も使用されたことがあるそうですが、異物感により日常使用はできずインプラントによる治療を希望されました。 3本歯が欠損しているところに間をあけて前後にインプラントを2本埋入し、被せ物を3本繋ぐジルコニアのブリッジとすることで、必要最小限の負担で3本分の奥歯の噛み合わせを回復しました。 |
| 治療期間 | 約5ヶ月 |
| 治療費用 | 約110万円(インプラント治療約60万円(2本分)+ブリッジ約50万円) |
| 治療によるリスク |
インプラントが感染し骨と定着しない場合、除去し骨の条件を整えてから再度埋入手術を行うことがあります。 下顎臼歯部には骨内に太い神経が走行しているため、間接的にでも神経を圧迫すると術後知覚鈍麻などの知覚異常が生じることがあります。 高い強度を持つ材質ですが、噛み合わせの条件によってはジルコニアブリッジが破折することもあります。 |
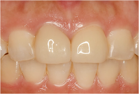
CASE03
ケース03
| 治療項目 | インプラント |
|---|---|
| 治療方法 | 骨造成後のインプラント治療による噛み合わせの改善 |
| 治療の概要 |
10年以上前に治療された右上奥歯の被せ物内部にう蝕が広がり、抜歯が必要となりました。 抜歯後はブリッジ・義歯・インプラントの選択肢の中からインプラントをご希望でしたが、骨の量が不足しており、必要なサイズのインプラント手術が困難でした。相談の結果、予め不足部分に人工骨による骨造成を行い、骨の安定を待ってからインプラント手術を行うこととなりました。 骨造成から6ヶ月後にインプラント手術を行い、セラミックの被せ物を装着し治療終了となりました。 |
| 治療期間 | 約1年 |
| 治療費用 | 約80万円(骨造成約30万円+インプラント治療約50万円) |
| 治療によるリスク |
上顎洞という鼻腔を利用して骨造成を行うため、術後一時的に鼻詰まりなどの鼻症状が出ることがあります。 人工骨が感染などにより予定通り定着しない場合、感染源を除去し再度骨造成を行う必要があります。 骨造成後の治癒期間が必要なため、通常のインプラント治療よりも治療期間が長く必要になります。 |
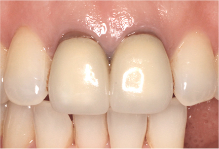
CASE04
ケース04
| 治療項目 | 審美歯科(ラミネートベニア) |
|---|---|
| 治療方法 | 上の前歯左右2本をラミネートベニアで修復 |
| 治療の概要 |
10年以上前に上の前歯2本は当時通院していた歯科医院でラミネートベニアという方法で治療されています。 ラミネートベニアとは歯の表面を必要最小限薄く削りセラミック装着することで、歯の形態や大きさ、色調を改善する治療法です。元のセラミックが欠けて修理したり、ヒビが入ったりしたため今回当院で再度ラミネートベニアでの治療を行うことになりました。 元の材料を取り除き、出来るだけ歯は削らずに形態を整えて製作しました。 |
| 治療期間 | 約2ヶ月 |
| 治療費用 | 1本につき10万円程度 |
| 治療によるリスク |
少量ですが歯を削るためしみたり違和感が生じることがあります。 薄いセラミックを装着するため、はがれたり破折することもあります。 |
CASE05
ケース05
| 治療項目 | 審美歯科(ラミネートベニア) |
|---|---|
| 治療方法 | 小さめの左上犬歯をラミネートベニアで修復 |
| 治療の概要 |
もともと小さめな左上犬歯について、矯正治療終了後に他の歯と同様の大きさとなるよう審美性の改善を希望されたため、ラミネートベニアでの治療を行うこととなりました。 ラミネートベニアは小さい歯を大きく見せたり、内側に生えている歯を外側にあるように見せたりするには効果的なことが多く、今回も出来るだけ歯は削らずに自然な大きさ形態となるように製作しました。 |
| 治療期間 | 約2ヶ月 |
| 治療費用 | 1本につき10万円程度 |
| 治療によるリスク |
少量ですが歯を削るためしみたり違和感が生じることがあります。 薄いセラミックを装着するため、はがれたり破折することもあります。 |
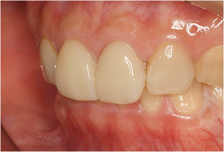
CASE06
ケース06
| 治療項目 | 審美歯科(セラミック被せ物による審美性改善) |
|---|---|
| 治療方法 | 上の前歯2本にセラミックの被せ物を装着し形態修正 |
| 治療の概要 |
上の前歯2本が元々お互いに捻れるように生えており、その修正とやや四角い歯の形態も丸みをもった形態に改善を希望されました。 矯正治療では歯の形態自体は改善できないことと、治療期間など相談した結果、2本をセラミックの被せ物によって形態修正することになりました。 右の前歯については削る量が多くしみる症状が予想されたため、神経をとり根の治療を行なってからセラミックで被せました。 |
| 治療期間 | 約3ヶ月 |
| 治療費用 | 右上前歯22万円程度(根の治療・土台・被せ物) 左上前歯11万円程度(被せ物) |
| 治療によるリスク |
神経のある歯を削る場合にはしみたり違和感が生じることがあります。その結果治療後に神経をとる可能性があります。しみる可能性が高い方には、相談しあらかじめ神経をとってから被せることもあります。 神経をとった歯は歯根が破折するリスクが高くなります。 強い力がかかるとセラミックが破折することもあります。 |
CASE07
ケース07
| 治療項目 | 審美歯科(セラミック被せ物のやり直しによる審美性改善) |
|---|---|
| 治療方法 | 上の前歯2本に装着されていたセラミックの被せ物を外し、新たに装着することで審美性を改善 |
| 治療の概要 |
上の前歯2本は以前通院していた歯科医院でセラミックの被せ物を装着しましたが、数年経ち歯肉が徐々に下がったことで根元の黒い部分が目立つようになりました。 再度被せ物をやり直すことで審美性の改善を希望されましたが、金属の土台はそのまま被せ物のみやり直すことになったため、土台が透けないようにジルコニアを用いて色のコントロールを行いました。 |
| 治療期間 | 約2ヶ月 |
| 治療費用 | 1本につき12万円程度 |
| 治療によるリスク |
金属の土台が装着されている歯は潜在的に歯根が破折するリスクが高いとされています。 強い力がかかるとセラミックが破折することもあります。 |
