WARRIES
新潟市のお父さん・お母さんで
こんなお悩みありませんか?
- 歯が痛い…お子さんの歯並び、大丈夫かな?
- 将来、歯列矯正が必要になるのかな…
- 口がいつもポカンと開いているのが気になる
- 鼻炎やアレルギーが歯並びと関係あるって本当?
お子さんの成長と共に、歯並びや口元の気になるサインは大きな心配事ですよね。
新潟市でお子さんに最適な小児矯正の歯医者をお探しでしたら、
まつみだい歯科診療所に
お任せください!
お子さんの健やかな成長と美しい歯並びのために、「痛みに配慮し、歯を抜かない」ことを基本とした、
一人ひとりに最適な小児矯正治療をご提案しています。
PRICE LIST
小児矯正を始めるメリットと必要性
「お子さんの歯並びが乱れる原因は、遺伝だけではありません。
日ごろの癖や、呼吸の仕方、飲み込み方など、様々な要因が複雑に絡み合っています。
特に、顎の骨が成長段階にある子どもの時期に適切な処置を行うことは、将来の美しい歯並びと全身の健康に大きく貢献します。
虫歯だけじゃない!
歯並びが身体に与える影響
「麻酔の注射が苦手…」「治療中の痛みが不安…」といった声は、多くの患者さんからお聞きします。
当院では、そんな患者さんの不安を少しでも和らげ、「怖くない」虫歯治療を提供するために、様々な工夫を凝らしています。
口呼吸や間違った嚥下が引き起こす顎の発達不全
口がポカンと開いている「口呼吸」や、舌の使い方が不適切な「間違った嚥下(飲み込み)」は、顎の正常な成長を妨げ、歯並びの乱れに直結します。顎が十分に発達しないと、永久歯が生えるスペースが不足し、歯がガタガタになってしまったり、出っ歯や受け口になったりする原因となります。
歯並びの乱れがお子さんの健康に及ぼす影響チェックリスト
- 口がいつもポカンと開いている
- 鼻炎やアレルギーがある
- 風邪をひきやすい、扁桃腺が腫れやすい
- いびきをかく、寝相が悪い
- 姿勢が悪い、猫背気味
- 発音しにくい言葉がある
- 集中力がないと言われることがある
- よく噛まずに飲み込む、偏食が多い
もし当てはまる項目がある場合、それは歯並びや口呼吸が原因かもしれません。
小学校低学年からが肝心!早期に始める小児矯正のメリット
乳歯が生え揃い、永久歯が生え始める小学校低学年頃(6歳〜10歳頃)は、顎の骨がまだ柔らかく成長が活発な時期です。
この時期に小児矯正(Ⅰ期治療)を行うことで、以下のような5つのメリットが得られます。
- 顎の骨の成長を適切に誘導: 永久歯が生えるスペースを確保し、抜歯をせずに矯正できる可能性が高まります。
- 悪い癖(悪習癖)の改善: 口呼吸、舌癖、指しゃぶりなどの歯並びを悪くする習慣を改善し、根本原因を取り除きます。
- 顔のバランスが整う: 顎の成長をコントロールすることで、将来の顔立ちのバランスを整えることにも繋がります。
- 本格矯正(Ⅱ期治療)の負担軽減: Ⅰ期治療で土台を整えることで、本格矯正が必要になったとしても、期間や費用、身体への負担を大幅に軽減できる傾向があります。
- 健康への好影響: 鼻呼吸を促すことで、免疫力の向上、風邪を引きにくくなる、アレルギー症状の緩和、集中力の向上など、全身の健康にも良い影響が期待できます。
APPROACH
まつみだい歯科診療所の
小児矯正治療法
お子さんに最適な
アプローチ
当院では、お子さん一人ひとりのお口の状態、成長段階、そしてライフスタイルに合わせて最適な矯正方法をご提案します。
1. マイオブレース
(MFT:口腔筋機能訓練)
歯並びが悪くなる根本原因である「口呼吸」や「舌癖」などの悪習癖を改善し、顎の正常な成長を促す治療法です。
マイオブレースとは?
シリコン製のマウスピース型装置を日中1時間と就寝時に装着し、同時に口腔周囲筋を正しく使うための簡単なトレーニング(MFT)を行います。
これにより、口呼吸を鼻呼吸へ、誤った飲み込み方を正しい嚥下へと導き、顎の適切な発育と、歯が本来あるべき位置に並ぶ手助けをします。
マイオブレースのメリット・デメリット
| メリット | デメリット |
|---|---|
| ・柔らかいシリコン製で痛みが少ない ・取り外し可能で衛生的 ・鼻呼吸促進による全身の健康改善 ・顎や顔の発育改善 ・比較的早期から始められる(5歳〜) |
・毎日継続的な装置装着とトレーニングが不可欠 ・親御さんの協力が非常に重要 ・症例によっては他の矯正方法と併用が必要になる場合がある |
| メリット |
|---|
| ・柔らかいシリコン製で痛みが少ない ・取り外し可能で衛生的 ・鼻呼吸促進による全身の健康改善 ・顎や顔の発育改善 ・比較的早期から始められる(5歳〜) |
| デメリット |
|---|
| ・毎日継続的な装置装着とトレーニングが不可欠 ・親御さんの協力が非常に重要 ・症例によっては他の矯正方法と併用が必要になる場合がある |
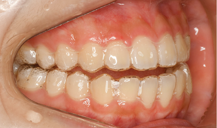
2. 小児マウスピース矯正(インビザラインファーストなど)
透明なマウスピースを使った、目立ちにくい矯正治療法です。
小児マウスピース矯正とは?
お子さん専用の透明なマウスピース型矯正装置(インビザライン・ファーストなど)を装着し、少しずつ歯を動かしていきます。
主に永久歯列が完成に近づいている段階や、比較的軽度の不正咬合に適しています。
小児マウスピース矯正のメリット・デメリット
| メリット | デメリット |
|---|---|
| ・透明で目立たない ・取り外し可能で衛生的(食事や歯磨きが普段通りできる) ・金属アレルギーの心配がない |
・1日20時間以上の装着が必要 ・自己管理能力が求められる ・重度の不正咬合には不向きな場合がある |
| メリット |
|---|
| ・透明で目立たない ・取り外し可能で衛生的(食事や歯磨きが普段通りできる) ・金属アレルギーの心配がない |
| デメリット |
|---|
| ・1日20時間以上の装着が必要 ・自己管理能力が求められる ・重度の不正咬合には不向きな場合がある |
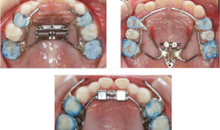
3. 顎顔面矯正
透明なマウスピースを使った、目立ちにくい矯正治療法です。
小児マウスピース矯正とは?
固定式の装置を装着し、顎の骨全体を物理的に広げたり、成長をコントロールしたりすることで、歯が並ぶスペースを確保し、噛み合わせのバランスを整える治療です。
顎顔面矯正のメリット・デメリット
| メリット | デメリット |
|---|---|
| ・顎の成長をコントロールできるため ・根本的な改善が期待できる ・歯を抜かずに矯正できる可能性が高い ・鼻呼吸の促進 ・肩こり・鼻づまり・アトピー性皮膚炎の緩和など全身への好影響が期待できる ・Ⅱ期治療(本格矯正)の期間や費用を抑えられる傾向がある |
・固定式のため取り外しができない ・慣れるまで違和感がある場合がある (多くの場合、1~2時間程度で通常の生活が送れます。) |
| メリット |
|---|
| ・顎の成長をコントロールできるため ・根本的な改善が期待できる ・歯を抜かずに矯正できる可能性が高い ・鼻呼吸の促進 ・肩こり・鼻づまり・アトピー性皮膚炎の緩和など全身への好影響が期待できる ・Ⅱ期治療(本格矯正)の期間や費用を抑えられる傾向がある。 |
| デメリット |
|---|
| ・固定式のため取り外しができない ・慣れるまで違和感がある場合がある (多くの場合、1~2時間程度で通常の生活が送れます。) |
FLOW
まつみだい歯科診療所の
小児矯正治療の流れ
お子さんの矯正治療は、親御さんにとってもご不安なことが多いかと思います。
当院では、安心して治療を受けていただけるよう、丁寧なカウンセリングと分かりやすい説明を心がけています。
初診・矯正相談
お子さんのお口の状態を拝見し、親御さんからのお悩みやご希望を詳しくお伺いします。小児矯正の基本的な情報をご説明し、最適な治療時期や費用・期間・方法などについてもアドバイスいたします。
精密検査・診断
レントゲン撮影、口腔内写真撮影、歯型採取、顔貌写真撮影などを行い、お子さんの顎の成長具合や歯並びの現状を詳細に分析します。
治療計画のご提案・ご説明
精密検査の結果に基づき、お子さんに最適な複数の治療計画をご提案します。
それぞれの治療法の特徴、期間、費用、期待できる効果など、分かりやすく丁寧にご説明し、親御さんが納得されるまでじっくりと話し合います。
矯正治療の開始
選択された治療計画に基づき、装置の装着やトレーニングを開始します。
装置の取り扱い方や、日々のケアについても丁寧に指導いたします。
定期的な来院・調整
治療の進行に合わせて、月に1回程度のペースでご来院いただき、装置の調整や口腔内のチェックを行います。
お子さんの成長に合わせて細やかに治療を進めます。
PAYMENT
お支払い
について
Question & Answer
よくある質問
顎の成長が活発な5歳〜10歳頃(小学校低学年頃)が、小児矯正(Ⅰ期治療)を始めるのに最も適した時期です。
お子さんの成長段階によって最適な時期は異なりますので、一度ご相談ください。
当院では痛みに最大限配慮した治療を心がけています。
マイオブレースやマウスピース矯正は比較的痛みが少ない治療法です。
固定式の装置でも、慣れるまでの多少の違和感はありますが、お子さんの負担を最小限に抑えるよう配慮いたします。
マイオブレースやマウスピース矯正は取り外しが可能ですので、食事や歯磨き、体育の授業の際には外すことができます。
固定式の装置の場合でも、慣れるまではありますが、ほとんどのお子さんは問題なく学校生活を送られています。
治療方法やお子さんの歯並びの状態、成長段階によって大きく異なります。
一般的にⅠ期治療は数ヶ月〜数年、その後Ⅱ期治療へ移行する場合はさらに期間が必要になります。
初診時の診断で目安をお伝えします。
装置を装着すると歯磨きがしにくくなるため、虫歯のリスクは高まります。
当院では、矯正中の虫歯予防のための丁寧なブラッシング指導や、フッ素塗布などのサポートを徹底しています。
はい、新潟市西区以外にお住まいの方も、もちろん治療をお受けいただけます。新潟市中央区や東区など、他区・他県にお住まいの方も多数ご来院いただいております。
私たちは保険適用に関係なく
患者さんの歯にとって最適な治療を
することをお約束します。
口腔内の状況や治療希望内容は一人ひとり異なります。
まつみだい歯科診療所では、患者に対して無理な治療の勧めや高額な治療の強制は行いません。
「じっくりと治療を進めて美しい歯を手に入れたい」「予算は限られているので、定期的な予防だけを受けたい」など、各患者さんの要望やライフスタイルにできる限り配慮し、虫歯や疾病のリスクを低減する治療を提供します。
※ただし、症状や治療の種類によっては、保険適用外(自由診療)のみの提案となる場合もございます。
