WARRIES
新潟市の皆さまへ
他院で「抜歯」と言われた歯、
諦めていませんか?
- 歯の根の治療を何度も繰り返している…
- ズキズキとした痛みが治まらない…
- 他院で「もう抜歯しかないと言われてしまった…
根管治療においては、後から治療をやり直す(再治療)よりも、
虫歯になった段階で専門医が最初に行う治療(イニシャル治療)を受けることが、
長期的に自分の歯を残すための最も重要な要素である。
もし、あなた今、あなたが上記のようなお悩みや不安を抱えながら、
新潟市で歯医者をお探しでしたら、
まつみだい歯科診療所に
ご相談ください。
私たちは、マイクロスコープや歯科用CTを用いた「精密根管治療」によって、
他院で抜歯を宣告された歯でも、当院では、「可能な限り残す治療」を追求しています。
DETAILS
まつみだい歯科診療所の
歯を守る精密根管治療の3つのこだわり
歯の根の治療は、肉眼では見えないほど複雑な根管内部を扱う、非常に繊細な治療です。
そのため、高い精度が求められ、それが治療の成否、そして歯の寿命を左右します。
当院では、「歯を残す」という強い想いのもと、
以下の3つのこだわりを持って精密根管治療を提供しています。
1. マイクロスコープで
見て治す精密治療
肉眼の最大20倍!細部まで見極める歯科用顕微鏡
歯の根の管(根管)は、非常に細く複雑に入り組んでおり、肉眼ではその全貌を把握することはできません。当院では、歯科用マイクロスコープ(歯科用顕微鏡)を導入し、患部を最大20倍まで拡大して治療を行います。これにより、肉眼では見えないような微細な根管の入り口、枝分かれ、感染物質までもしっかりと確認しながら、的確な処置を行うことが可能です。
精密根管治療を専任する専門性の高い歯科医師が在籍
当院には、マイクロスコープを用いた精密根管治療(マイクロエンド)を専門とし、豊富な経験を持つ歯科医師 大墨竜也が在籍しています。根管治療は、歯科医師の知識と技術が特に問われる分野です。専門的な知識と熟練した技術を持つ歯科医師が、一つ一つの症例に真摯に向き合い、あなたの歯を救うために全力を尽くします。
2. 根管治療成功率を高める
感染制御の徹底
ラバーダム防湿による無菌的環境での治療
根管治療において、最も重要なのは「感染の制御」です。根管内に唾液や細菌が侵入すると、再感染の原因となり、治療の失敗に繋がります。当院では、治療する歯だけを隔離するラバーダム防湿を徹底しています。これにより、治療部位を唾液や口腔内細菌から完全に遮断し、無菌的な環境で治療を行うことで、治療成功率を飛躍的に高めます。
徹底した根管内の清掃と消毒
拡大された視野と無菌的な環境のもと、肉眼では見つけられない感染源まで徹底的に除去します。複雑な根管内部の汚染された神経組織や細菌を丁寧に清掃・消毒し、再感染のリスクを最小限に抑えます。
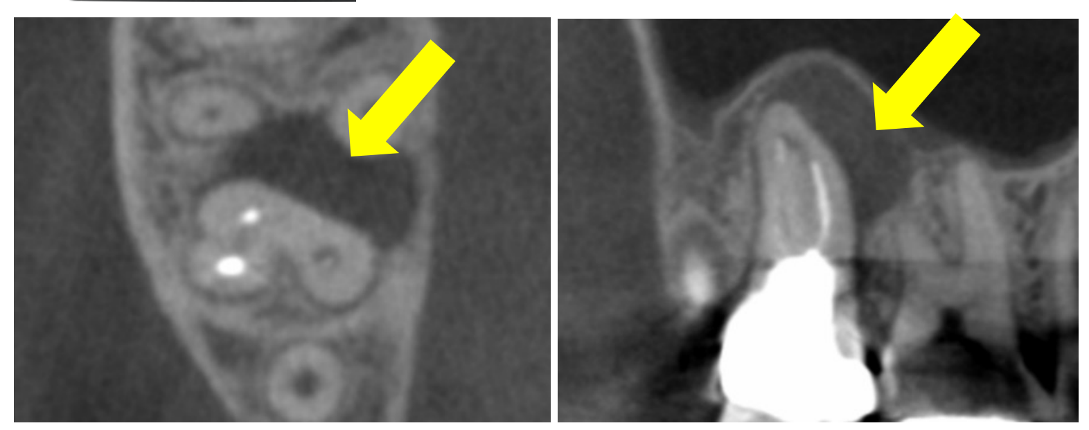
3. 正確な診断を可能にする歯科用CT
3D画像で根管の構造を立体的に把握
従来のレントゲンでは2次元の平面画像しか得られず、根管の正確な形状や病巣の広がりを把握することは困難でした。当院では、歯科用CTを導入し、歯の根の構造や周囲の骨の状態を3次元(3D)で立体的に診断します。これにより、診断の精度が格段に向上し、適切な治療計画を立てることが可能になります。複雑な根管の見落としを防ぎ、より確実な治療に繋がります。
REASONS
なぜ精密根管治療が必要なのか?
歯の痛みの原因と放置するリスク
虫歯が深く進行し、歯の神経(歯髄)まで細菌感染が及んでしまうと、
ズキズキとした激しい痛みが生じたり、歯ぐきが腫れたり、膿が出たりします。
その場合、感染した神経や細菌を根管内から取り除く「根管治療」が必要になります。
根管治療が必要になる主な原因と症状
- 深い虫歯の進行:
虫歯が歯の神経まで達し、細菌感染を起こしている。 - 歯への強い衝撃・外傷:
歯をぶつけるなどして、神経が損傷したり感染したりする。 - 過去の不完全な根管治療:
以前の根管治療で感染源が取り除ききれておらず、再発している。
放置すると、感染がさらに広がり、
歯の根の先に膿がたまったり、顎の骨にまで炎症が及んだりするだけでなく、
最終的には抜歯せざるを得なくなってしまいます。
FLOW
まつみだい歯科診療所の
精密根管治療の流れ
他院で抜歯と言われた歯でも残せる可能性を探るため、
当院では綿密な診査診断から精密な治療、そして治療後を考慮した治療計画を立てます。
初診・カウンセリング
現在の症状、過去の治療歴、そして「歯を残したい」というあなたの強いご希望を詳しくお伺いします。
精密診査・診断(CT・レントゲン・口腔内検査)
歯科用CTやレントゲン、口腔内検査、歯髄診断などを行い、歯の根の状態や病巣の広がりを正確に把握します。本当に抜歯が避けられないのか、精密根管治療で歯を残せる可能性がないかを徹底的に診査診断します。
治療計画のご提案・ご説明
診査診断の結果に基づき、歯を残せる可能性があれば、マイクロスコープを用いた精密根管治療の詳細な計画をご提案します。治療の期間、費用、リスク、成功率、そして期待できる効果について、納得いただけるまで丁寧に説明いたします。
精密根管治療(マイクロスコープ・ラバーダム使用)
麻酔を行い、ラバーダム防湿で治療歯を隔離し、マイクロスコープで根管内部を拡大しながら、感染した神経や細菌を徹底的に除去・清掃・消毒します。非常に集中力を要するため、必要に応じて複数回に分けて行います。
根管充填
根管内の清掃・消毒が完了したら、根管内に細菌が再侵入しないよう、緊密に薬剤(ガッタパーチャなど)を充填します。
コア(土台)の形成・被せ物装着
根管治療で歯の内部が空洞になった部分に、丈夫な土台(コア)を形成し、その上に最終的な被せ物(クラウン)を装着します。これにより、歯の強度を回復させ、噛める状態に戻します。
治療後の定期検診・メンテナンス
治療が完了した後も、再発を防ぎ、歯を長持ちさせるために定期的な検診とプロフェッショナルなメンテナンスが非常に重要です。
PAYMENT
精密歯科ドック
のおしはらについて
精密根管治療は、自費診療となり、保険診療の根管治療と比べて費用は高額になります。
しかし、その精度は歯の寿命を大きく左右し、結果として「抜歯→インプラントやブリッジ」といった
将来的な高額な治療費や身体への負担を回避できる可能性が高まります。
精密根管治療(自費診療)の費用目安
| 治療内容 | 費用目安 |
|---|---|
| 前歯の根管治療 | 70,000円(税込 77,000円)〜 |
| 小臼歯の根管治療 | 90,000円(税込 99,000円)〜 |
| 大臼歯の根管治療 | 120,000円(税込 132,000円)〜 |
| MTAセメントによる歯髄温存療法 | 50,000円(税込 55,000円)〜 |
※ 検査項目は患者さんの口腔状態やご希望に応じてカスタマイズ可能です。
詳細は、お問い合わせください。
お支払い方法について
現金でのお支払いの他、各種クレジットカード(Visa, Mastercard, JCBなど)もご利用いただけます。
治療費用に関するご不明な点がございましたら、受付スタッフまでお気軽にご相談ください。
当院で提供している全ての治療の料金や、各種お支払い方法の詳細につきましては、以下のページで詳しくご案内しております。どうぞご確認ください。
Question & Answer
よくある質問
精密根管治療に関して、患者さんからよくいただく質問とその回答をまとめました。
精密根管治療は、マイクロスコープや歯科用CT、ラバーダム防湿などの特殊な設備と、高度な専門技術、そして治療にかける時間が必要となるため、保険診療ではカバーしきれない範囲がございます。しかし、歯を抜かずに残せる可能性が高まるため、将来的なインプラントやブリッジの費用を考えると、結果的に経済的になることも少なくありません。
治療中は麻酔を行いますので、基本的には痛みを感じることはありません。術後に多少の鈍痛を感じることはありますが、痛み止めでコントロールできる範囲です。痛みに最大限配慮した治療を心がけております。
虫歯の進行度合いや根管の複雑さ、感染の程度によって異なりますが、通常の根管治療よりも1回あたりの治療時間が長くなる代わりに、来院回数を減らせるケースもあります。精密な清掃・消毒を徹底するため、複数回の通院が必要となる場合もあります。
当院では、歯科用CTやマイクロスコープを用いて徹底的に診査診断を行い、残せる可能性を追求します。すべての歯を残せるわけではありませんが、諦めずにご相談いただければ、最善の選択肢をご提案させていただきます。
保険診療の根管治療と比較して、マイクロスコープやラバーダム防湿を用いた精密根管治療は格段に成功率が高まります。ただし、歯の状態や感染の程度により個人差がございます。
私たちは保険適用に関係なく
患者さんの歯にとって最適な治療を
することをお約束します。
口腔内の状況や治療希望内容は一人ひとり異なります。
まつみだい歯科診療所では、患者に対して無理な治療の勧めや高額な治療の強制は行いません。
「じっくりと治療を進めて美しい歯を手に入れたい」「予算は限られているので、定期的な予防だけを受けたい」など、各患者さんの要望やライフスタイルにできる限り配慮し、虫歯や疾病のリスクを低減する治療を提供します。
※ただし、症状や治療の種類によっては、保険適用外(自由診療)のみの提案となる場合もございます。
